保険適用
成功率90%以上の根管治療

根管治療を繰り返すと、
かならず抜歯になってしまいます。
歯を守るためには、
成功率の高い治療が必要です。
- 「ラバーダム」で
細菌をシャットアウト - 「隔壁」で再感染を徹底防止
- 「レーザー」による殺菌



根管治療を繰り返すと、
かならず抜歯になってしまいます。
歯を守るためには、
成功率の高い治療が必要です。







虫歯が歯の神経に到達すると、神経を取り除いて歯の内部をきれいに清掃する「根管治療」が必要です。
神経を取り除けば、今後痛みを感じることはないはずです。ところが現実には、治療をしたはずの歯が再び痛くなったという患者さんが大勢います。あるデータによると、根管治療を終えて2年経った歯の70%近くに、再び膿が溜まっていたそうです。つまり、治療をした患者さんの7割が、再び歯の痛みや腫れに苦しむことになるのです。
根管治療の成功率は、次の2つにかかっています。
7割もの患者さんに症状が再発してしまうのは、多くの歯科医院でこの2つを徹底できていないからです。

歯の神経について、知っていただきたいことがもう1つあります。
それは、歯の神経には、歯に栄養を与えるという重要な役目があることです。神経を取り除いた歯は栄養を取り入れることができなくなり、枯れ木のように脆くなっていきます。
痛みが再発し、再び治療をするとなると、脆くなった歯をさらに削ることになります。こんなことを繰り返しているうちに、歯はどんどん弱くなっていきます。いずれ、歯茎の中で割れてしまいます。こうなったら、もう抜歯を避けることはできません。
つまり、根管治療をする際は、最初に成功率の高い治療法を選ばないと、歯を守ることができないのです。

先ほど、7割近くの歯に再発があったとお伝えしました。これは、日本における根管治療の成功率は30%程度だということを示しています。これは、欧米に比べて極端に低い数字です。根管治療の成功率を高める器具や技術はあるのですが、日本ではあまり普及しているとはいえません。
当院は、これらの器具や技術を積極的に取り入れて、90%を超える成功率を実現しています。これは欧米に匹敵する成功率です。日本国内にも、欧米式の根管治療で成功率を高めている歯科医院はありますが、ほとんどは自費診療です。
当院では、すべて保険診療で対応しています。
当院の根管治療について、詳しくご紹介します。

歯科医院での治療中、「歯はどうなっているのかな?」と、削った歯を舌で触ってしまったことがありませんか?
実はこれ、とてもよくありません。唾液の中には、多くの細菌が含まれています。せっかく根管内をきれいに掃除しても、舌で歯を触ると唾液や細菌が再び侵入してしまいます。
そこで、当院では、「ラバーダム」というゴム製のシートで「治療する歯」以外を覆ってしまいます。治療中の歯に唾液や細菌が侵入するのを、完全にシャットアウトできます。もちろん、舌で歯を触ることもできません。
ラバーダムを利用することで、根管治療の成功率は飛躍的に高まります。アメリカではラバーダムなしに治療をすると医師免許が取り消されるほど重要視されているのですが、日本国内の歯科医院での普及率は、わずか5%程度に過ぎないと言われています。

当院では、根管治療を行うすべての歯について、「隔壁」を作ります。隔壁とは、歯科用プラスチックなどの材料で、歯の周囲を取り囲むようにした「壁」です。患部が壁で覆われるので、唾液や歯肉の体液が患部に入りにくくなります。
隔壁を作るのは時間も手間もかかるのですが、成功率の高い治療のためには欠かせません。
ラバーダムを装着する際、歯に「クランプ」という金具を固定しますが、虫歯などで歯が崩壊していると、クランプを掛けられないことがあります。このようなケースでも、隔壁があればクランプを掛けられるので、ラバーダムを装着できます。
また、根管治療では、1回の来院で治療が終わらないこともあります。次回来院いただくまでの間、歯の穴をふさぐ処置をして再感染が起きないようにしますが、隔壁で歯の厚みや高さを確保することで、唾液や細菌が患部に侵入しにくくなります。
根管治療を行う前に、画像診断で形状を確認します。多くの歯科医院では「2次元」のレントゲンで撮影しますが、レントゲンでは初期の患部を見つけにくい上、根管の複雑な形状をしっかり確認するには力不足です。

そこで、当院では「3次元」で撮影ができる「CT」を利用します。CTはお口の周囲を360度回転しながら撮影するので、レントゲンでは写し出せない患部の様子が詳細にわかります。
日本国内の歯科医院におけるCTの普及率は、5〜10%程度と言われます。

「歯科用拡大鏡(ルーペ)」とは、その名の通り、患部を拡大して見ることができる装置です。根管の中は非常に狭く、複雑な構造をしており、肉眼では細部までを見ることができません。
患部を明るくし、拡大することで見落としを防ぎ、感染部位を取り残すことなくしっかりと除去します。

実際に神経組織を取り除く作業には、「ファイル」というヤスリのような器具を利用します。
多くの歯科医院ではステンレス製のファイルが利用されていますが、当院はニッケルチタン製のファイルを使います。ニッケルチタンファイルは柔軟性に優れ、複雑な形の根管を掃除するのに効果を発揮します。
当院では、1本の歯を治療するのに、サイズや形状が異なるニッケルチタンファイルを10種類ほど使います。

根管治療では、根管内の清浄、消毒を徹底して行うことで成功率が上がります。当院では、強い殺菌力を持つ「CO2レーザー」の光を根管内に照射することで、虫歯菌を退治していきます。
感染した神経組織をファイルで取り除くと、根管の内部に細かい削りカスが散らばります。削りカスにも虫歯菌がたくさん付着していますが、これらを手作業で除去するのは不可能で、多くの歯科医院では削りカスを残したまま蓋をしてしまいます。これが根管治療の成功率が低い原因のひとつにもなっています。

当院では「ジロソニック」という機器をで根管内を洗浄します。超音波と水流で、根管内の奥深くにある削りカスを洗い流します。

さらに、「EDTA」や「次亜塩素酸ナトリウム」という薬剤で、削りカスを溶かして消毒します。
これらの手間をかけて、根管内を殺菌して治療の成功率を高めています。

根管治療の仕上げとして、「根管充てん」という工程があります。神経を除去したことによってできた空洞を充てん剤で埋めて、すき間がないようにふさぎます。すき間を残してしまうと、ここから再び細菌が侵入し、症状が再発する危険性があります。
当院では、必要に応じて「MTAセメント」という充てん剤を利用します。MTAセメントは硬化の際にわずかながら膨張する性質があり、根管内をすき間なく埋めるのに適しています。また、とても固く、神経を取り除いた歯を内部から補強する効果もあります。さらに殺菌作用や歯の組織を再生させる効果があり、治療後の経過が良好になります。

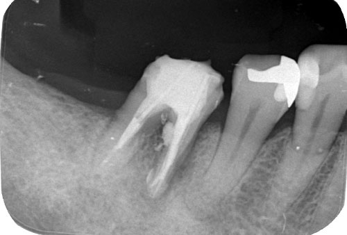
根管治療がうまくいかなかった場合、歯の根の先端に膿がたまることがあります。膿が溜まっている袋が大きいと抜歯になりますが、そうでない場合は外科的な処置で治療できることがあります。歯茎を切開して歯の根を切断し、膿の袋を摘出します。この処置を「歯根端切除術」といいます。
※すべての症例で抜歯せずに治療できるわけではありません。


唾液からの細菌感染を防いで安全に治療するために、「ラバーダム」を装着します。初めは歯を圧迫される感じがありますが、次第に慣れてきて、呼吸も普通にできます。
※ゴムアレルギー(ラテックスアレルギー)の方は事前にご相談ください。

痛みを抑える麻酔を行ったら、まずは歯を削って根管を露出させます。
細菌に汚染された神経や、歯根の先に溜まった膿などを取り除き、消毒します。歯の根の中の形を整え、隅々まで消毒液を満たしたら蓋をします。
しっかり消毒できるまでこの作業を繰り返します。

根管内を消毒した後は、すき間ができないように充てん剤で密封します。充てん剤は、症例によってはMTAセメントを使用します。
神経を取り除いた歯は再感染しやすいため、薬剤で密封して細菌の入る余地をなくします。また、根管の中に空気が入ってしまうと痛みを感じる原因になるので、しっかりと密封する必要があります。

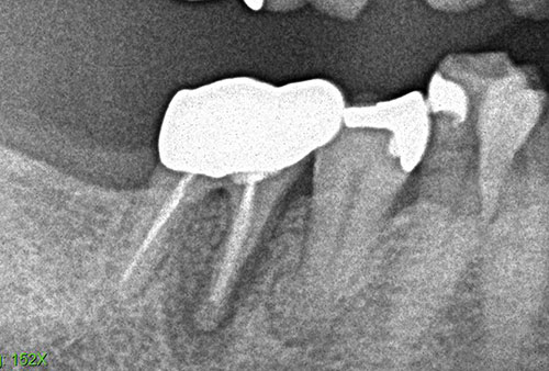
充てん剤が根の先までしっかり入っているか、レントゲンで確認します。隙間ができている場合は、再度薬剤を入れ直し隙間を埋めていきます。
充てん剤を詰めた後、じんじんとした痛みを感じる場合がありますが、ほとんどはしばらくするとおさまります。
万が一、痛みや違和感が長く続く場合は、お気軽にご相談ください。

レントゲン撮影で歯の根の先までしっかりと薬剤が入っていることが確認できたら、土台を形成し、被せ物をします。
当院では機能性・審美性に優れた、さまざまな素材の被せ物を取り扱っています。詳しくは、こちらをご覧ください。

根管治療後も残った歯をできるだけ長く守っていくために、歯科医院でのメンテナンス・お口のクリーニングを定期的に受けることをお勧めします。詳しくは、こちらをご覧ください。
当院では、患者さんが抱えていらっしゃるお口のお悩みや疑問・不安などにお応えする機会を設けております。どんなことでも構いませんので、私たちにお話ししていただけたらと思います。
ご興味がある方は下記からお問い合わせください。